咬む面の傾き
代表的な症例
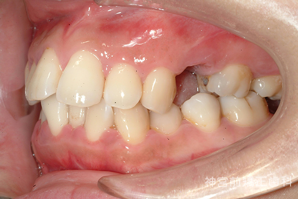
【咬む面の傾き:治療前】
【治療後】
提供 神宮前矯正歯科
| 主訴 | 歯茎が見えやすい・咬む面が斜め |
| 主な症状 | 多数小臼歯欠損・咬合平面が斜め |
| 年齢 | 20代 |
| 主な治療方針 | 歯科矯正用アンカースクリュi-stationを用いて、主訴を改善。 |
| 装置 | 上顎舌側+下顎唇側からの装置・歯科矯正用アンカースクリューi-station |
| 抜歯部位 | 下顎左側第二小臼歯・親知らず |
| 動的治療期間の目安 | 1年~3年程度※保定期間(約2年)は含まれていません。 |
| 費用の目安(税抜) | 110万円~150万円程度 |
| 主なリスク | 歯磨きがしづらくなる・しゃべりづらくなる・歯根吸収・食べ物に制限が出る等 |
注)治療期間、仕上がり、費用等には個人差があります。
提供 神宮前矯正歯科
| 主訴 | 歯茎が見えやすい・咬む面が斜め※外科手術はしたくない |
| 主な症状 | 下顎の偏位・咬合平面斜め・叢生 |
| 年齢 | 30代 |
| 主な治療方針 | 歯科矯正用アンカースクリュを用いて、主訴を改善。 |
| 装置 | 上顎舌側+下顎唇側からの装置・歯科矯正用アンカースクリュー |
| 抜歯部位 | 上顎左右下顎右側第一小臼歯、下顎左側第二大臼歯、親知らず |
| 動的治療期間の目安 | 1年~3年程度※保定期間(約2年)は含まれていません。 |
| 費用の目安(税抜) | 110万円~150万円程度 |
| 主なリスク | 歯磨きがしづらくなる・しゃべりづらくなる・歯根吸収・食べ物に制限が出る等 |
注)治療期間、仕上がり、費用等には個人差があります。
提供 神宮前矯正歯科
| 主訴 | 歯茎が見えやすい・咬む面が斜め・虫歯で歯が少ない |
| 主な症状 | 下顎の偏位・咬合平面斜め・多数歯欠損 |
| 年齢 | 20代 |
| 主な治療方針 | 歯科矯正用アンカースクリュを用いて、虫歯のスペースを閉じて、主訴を改善。 |
| 装置 | 上下顎舌側からの装置・歯科矯正用アンカースクリューi-station |
| 抜歯部位 | 上下顎左側第一大臼歯、上顎右側第一小臼歯、下顎右側第二大臼歯(全て虫歯の為抜歯) |
| 動的治療期間の目安 | 1年~3年程度※保定期間(約2年)は含まれていません。 |
| 費用の目安(税抜) | 110万円~150万円程度 |
| 主なリスク | 歯磨きがしづらくなる・しゃべりづらくなる・歯根吸収・食べ物に制限が出る等 |
注)治療期間、仕上がり、費用等には個人差があります。
提供 神宮前矯正歯科



















