受け口(外科でない治療)
代表的な症例
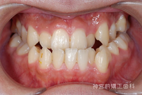
【受け口(外科でない治療):治療前】
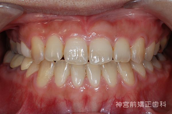
【治療後】
提供 神宮前矯正歯科
| 主訴 | 受け口・ガタガタ・前歯に乳歯が残っている※外科手術をしたくない |
| 主な症状 | 受け口・正中偏位・右前歯が歯茎に埋まっている |
| 年齢 | 20代 |
| 主な治療方針 | 歯科矯正用アンカースクリューi-stationを用いて、受け口・正中偏位を改善及び右上前歯を正しい位置に配列する |
| 装置 | 上顎舌側+下顎唇側からの装置・歯科矯正用アンカースクリュー |
| 抜歯部位 | 上顎左側乳歯(前歯)・下顎両側親知らず |
| 動的治療期間の目安 | 1年~3年程度※保定期間(約2年)は含まれていません。 |
| 費用の目安(税抜) | 110万円~150万円程度 |
| 主なリスク | 歯磨きがしづらくなる・しゃべりづらくなる・歯根吸収・食べ物に制限が出る等 |
注)治療期間、仕上がり、費用等には個人差があります。
提供 神宮前矯正歯科
| 主訴 | 受け口・ガタガタ・下唇が出ている※外科手術をしたくない |
| 主な症状 | 受け口・正中偏位 |
| 年齢 | 20代 |
| 主な治療方針 | 歯科矯正用アンカースクリュを用いて、主訴を改善。埋伏している上顎右側第二小臼歯をけん引し、正しい位置に配列。 |
| 装置 | 上顎舌側+下顎唇側からの装置・歯科矯正用アンカースクリュー |
| 抜歯部位 | 上顎左右第一小臼歯及び上顎左右・下顎左側の親知らず、下顎右側第二大臼歯 |
| 動的治療期間の目安 | 1年~3年程度※保定期間(約2年)は含まれていません。 |
| 費用の目安(税抜) | 110万円~150万円程度 |
| 主なリスク | 歯磨きがしづらくなる・しゃべりづらくなる・歯根吸収・食べ物に制限が出る等 |
注)治療期間、仕上がり、費用等には個人差があります。
提供 神宮前矯正歯科
| 主訴 | 受け口・ガタガタ※外科手術をしたくない |
| 主な症状 | 受け口・叢生・正中偏位 |
| 年齢 | 20代 |
| 主な治療方針 | 歯科矯正用アンカースクリュを用いて、主訴及び正中偏位を改善 |
| 装置 | 上顎舌側+下顎唇側からの装置・歯科矯正用アンカースクリュー |
| 抜歯部位 | 上顎左右の親知らず及び下顎左右の第二大臼歯 |
| 動的治療期間の目安 | 1年~3年程度※保定期間(約2年)は含まれていません。 |
| 費用の目安(税抜) | 110万円~150万円程度 |
| 主なリスク | 歯磨きがしづらくなる・しゃべりづらくなる・歯根吸収・食べ物に制限が出る等 |
注)治療期間、仕上がり、費用等には個人差があります。
提供 神宮前矯正歯科
| 主訴 | 受け口※外科手術をしたくない |
| 主な症状 | 受け口・叢生・正中偏位 |
| 年齢 | 10代 |
| 主な治療方針 | 歯科矯正用アンカースクリュを用いて、主訴及び正中偏位を改善 |
| 装置 | 上下顎舌側からの装置・歯科矯正用アンカースクリューi-station |
| 抜歯部位 | 上顎右側・下顎両側第一小臼歯、上顎左側第二小臼歯 |
| 動的治療期間の目安 | 1年~3年程度※保定期間(約2年)は含まれていません。 |
| 費用の目安(税抜) | 110万円~150万円程度 |
| 主なリスク | 歯磨きがしづらくなる・しゃべりづらくなる・歯根吸収・食べ物に制限が出る等 |
注)治療期間、仕上がり、費用等には個人差があります。
提供 神宮前矯正歯科
| 主訴 | ガタガタ・下唇が出ている※外科手術をしたくない |
| 主な症状 | 叢生・開咬・受け口 |
| 年齢 | 10代 |
| 主な治療方針 | 叢生・開咬の改善と正中を顔面中心へ移動 |
| 装置 | 上顎舌側+下顎唇側からの装置・歯科矯正用アンカースクリューi-station |
| 抜歯部位 | 上下顎小臼歯 |
| 動的治療期間の目安 | 1年~3年程度※保定期間(約2年)は含まれていません。 |
| 費用の目安(税抜) | 110万円~150万円程度 |
| 主なリスク | 歯磨きがしづらくなる・しゃべりづらくなる・歯根吸収・食べ物に制限が出る等 |
注)治療期間、仕上がり、費用等には個人差があります。
提供 神宮前矯正歯科
| 主訴 | 受け口・歯の隙間※外科手術をしたくない |
| 主な症状 | 受け口 |
| 年齢 | 30代 |
| 主な治療方針 | 歯科矯正用アンカースクリューを用いて、主訴を改善 |
| 装置 | 上顎舌側+下顎唇側からの装置・歯科矯正用アンカースクリュー |
| 抜歯部位 | 非抜歯 |
| 動的治療期間の目安 | 1年~3年程度※保定期間(約2年)は含まれていません。 |
| 費用の目安(税抜) | 110万円~150万円程度 |
| 主なリスク | 歯磨きがしづらくなる・しゃべりづらくなる・歯根吸収・食べ物に制限が出る等 |
注)治療期間、仕上がり、費用等には個人差があります。
提供 神宮前矯正歯科
| 主訴 | 受け口※外科手術をしたくない |
| 主な症状 | 受け口 |
| 年齢 | 30代 |
| 主な治療方針 | 歯科矯正用アンカースクリューを用いて、主訴を改善 |
| 装置 | 上下顎舌側からの装置・歯科矯正用アンカースクリュー |
| 抜歯部位 | 上下顎左右第一大臼歯 |
| 動的治療期間の目安 | 1年~3年程度※保定期間(約2年)は含まれていません。 |
| 費用の目安(税抜) | 110万円~150万円程度 |
| 主なリスク | 歯磨きがしづらくなる・しゃべりづらくなる・歯根吸収・食べ物に制限が出る等 |
注)治療期間、仕上がり、費用等には個人差があります。
提供 神宮前矯正歯科
| 主訴 | 受け口・前歯のガタガタ※外科手術をしたくない |
| 主な症状 | 受け口・下顎の偏位 |
| 年齢 | 30代 |
| 主な治療方針 | 歯科矯正用アンカースクリューi-stationを用いて、主訴及び正中偏位を改善 |
| 装置 | 上顎舌側+下顎唇側からの装置・歯科矯正用アンカースクリューi-station |
| 抜歯部位 | 小臼歯非抜歯、残っていた親知らず及び右下7番目 |
| 動的治療期間の目安 | 1年~3年程度※保定期間(約2年)は含まれていません。 |
| 費用の目安(税抜) | 110万円~150万円程度 |
| 主なリスク | 歯磨きがしづらくなる・しゃべりづらくなる・歯根吸収・食べ物に制限が出る等 |
注)治療期間、仕上がり、費用等には個人差があります。
提供 神宮前矯正歯科
| 主訴 | 受け口・前歯のガタガタ・前歯の中心のズレ※外科手術をしたくない |
| 主な症状 | 受け口・下顎の偏位 |
| 年齢 | 20代 |
| 主な治療方針 | 歯科矯正用アンカースクリューi-stationを用いて、主訴及び正中偏位を改善 |
| 装置 | 上顎舌側+下顎唇側からの装置・歯科矯正用アンカースクリューi-station |
| 抜歯部位 | 小臼歯非抜歯 親知らずのみ抜歯 |
| 動的治療期間の目安 | 1年~3年程度※保定期間(約2年)は含まれていません。 |
| 費用の目安(税抜) | 110万円~150万円程度 |
| 主なリスク | 歯磨きがしづらくなる・しゃべりづらくなる・歯根吸収・食べ物に制限が出る等 |
注)治療期間、仕上がり、費用等には個人差があります。
提供 神宮前矯正歯科
| 主訴 | 受け口・前歯のガタガタ・前歯の中心のズレ※外科手術をしたくない |
| 主な症状 | 受け口・下顎の偏位 |
| 年齢 | 40代 |
| 主な治療方針 | 歯科矯正用アンカースクリューを用いて、主訴を改善 |
| 装置 | 上顎舌側+下顎唇側からの装置・歯科矯正用アンカースクリューi-station |
| 抜歯部位 | 小臼歯非抜歯 左下第一大臼歯 |
| 動的治療期間の目安 | 1年~3年程度※保定期間(約2年)は含まれていません。 |
| 費用の目安(税抜) | 110万円~150万円程度 |
| 主なリスク | 歯磨きがしづらくなる・しゃべりづらくなる・歯根吸収・食べ物に制限が出る等 |
注)治療期間、仕上がり、費用等には個人差があります。
提供 神宮前矯正歯科



















































































